Crowding

When there is a mismatch between the widths of the teeth and the size of the upper and lower jaw, the result can be dental crowding. This is a very common orthodontic problem and an example of how this is treated is shown here.

Crowding-01.jpg
Crowding-02.jpg

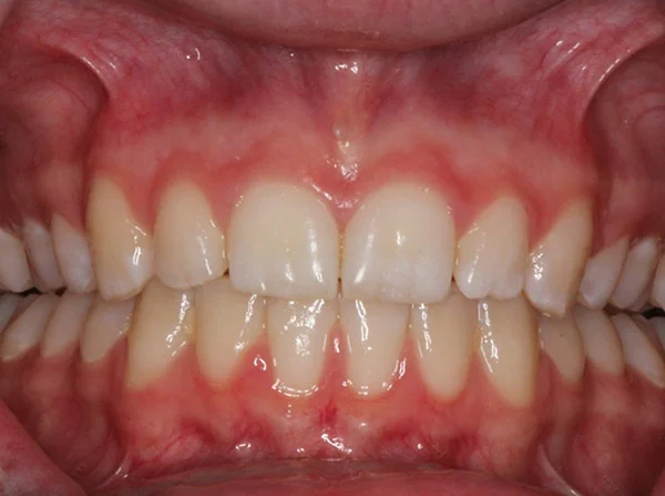
Cross bite

A cross bite occurs when an upper tooth bites inside the lower teeth. With time a cross bite can result in premature enamel wear and shortening of the teeth involved if left untreated. It is preferable to correct this problem earlier if possible.

Cross-Bite-01.jpg
Cross-Bite-02.jpg

Impacted upper canines

Impacted canine are more common than you think and they are estimated to occur in 2 % of the population. We use the word ‘impacted’ if a tooth is prevented from erupting into its normal position by bone, tooth or gum tissue. An example of impacted upper canine correction can be seen in the radiographs shown below.

Impacted-Canines-02.jpg
Impacted-Canines-01.jpg

Increased overjet

An increased overjet is represented by the upper front teeth positioned a long way forward of the lower front teeth. There are numerous causes of this problem and orthodontic treatment plans are customised to solve a patient’s specific problem. An example of the correction of an overjet is shown here.

Increased-Overjet-02.jpg
Increased-Overjet-01.jpg

Deep overbite

If the upper front teeth overlap the lower front teeth by an increased amount, this is called a deep overbite. In the long term, a deep overbite can contribute to increased wear of the upper and lower front teeth, especially if the patient is grinding their teeth at night. During orthodontic treatment, the overbite is corrected as seen in the example here.

Deep-Overbite-02.jpg
Deep-Overbite-01.jpg

Missing teeth

The most common tooth to be missing is a wisdom tooth. Approximately 30% of the population is missing at least one wisdom tooth. Unfortunately, a small number of people (3% of the population) are missing lower second premolars (normally the 5th tooth from the middle) and 2% of population are missing upper lateral incisors (normally the 2nd tooth from the middle).  Orthodontic treatment planning will include either closing the space left by the missing tooth or restoring the space with a prosthetic (false) tooth. We will work with your dentist if a prosthetic tooth is needed. Here is an example of treatment completed for a missing lower right second premolar where the space was closed with orthodontic treatment.

Missing-Teeth-01.png
Missing-Teeth-02.png